整形外科医 今泉佳宣氏
今回は外反母趾(がいはんぼし)のお話です。外反母趾は足の親指が外側へ向いてしまう病気です。足の指が外側へ向くことを外反といい、足の親指を母趾というのでこの名が付いています。
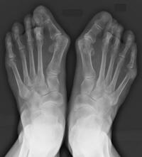
特徴的な症状は、母趾の先が人さし指(第二趾)の方に「くの字」に曲がり、つけ根の関節(MTP関節)の内側の突き出したところが痛みます。その突出部が靴に当たって炎症を起こし、ひどくなると靴を履いていなくても痛むようになります=写真=。
靴の歴史の長い欧米人に多い病気でしたが、最近は日本でも増えています。性別では女性に多く、男性の約10倍発症します。また、中高年での発症が多いですが、若年での発症もあります。
外反母趾の一番の原因は、靴を履くことです。幅の狭いつま先が細くなった靴を履くと、母趾のつけ根から先が圧迫されて変形します。ヒールの高い靴はつけ根にかかる力が増え、さらに変形を強くします。最も多い中年期の外反母趾は履物に加えて、肥満や筋力低下などによって起こります。肥満や足の筋力低下により、健常な足にある縦と横のアーチが崩れて扁平(へんぺい)足になります。そうなると足の中ほどにある母趾の第一中足骨(ちゅうそくこつ)が扇状に内側に開き、それから先の指は逆に靴で外側に圧迫されます。
外反母趾の症状としては、見た目の変形以外に痛みが問題になります。母趾の飛び出しを指で押すと痛む、靴を履いたときに痛む、靴を脱いでも痛む-と症状が進みます。
保存療法は三つあります。第一は靴の工夫です。母趾のつけ根がフィットしていて、先はゆったりとした靴を選びます。第二は体操です。足の指のすべてを開く(グー、チョキ、パーのような)外反母趾体操を毎日行います。さらに両足の母趾に輪ゴムをかけて足先を開く体操を行います。第三は装具です。装具は母趾と第二趾の間にはめます。
変形が進むと、体操や装具では元に戻りにくくなります。痛みが強く、靴を履いての歩行がつらくなったり、靴を脱いでも常時痛むようになると手術をします。外反母趾の手術法にはいろいろありますが、最も一般的なのは第一中足骨を骨切りして矯正する方法で、変形の進行の程度により方法を選んで行います。手術は腰椎麻酔か局所麻酔をして、おおよそ1時間以内で終わります、手術翌日から歩行が可能ですが、従来の靴が履けるようになるのには、手術後2カ月ほどかかります。
(朝日大学保健医療学部教授)









