整形外科医 今泉佳宣氏
今回は骨折の手術療法についてお話しします。
骨折の手術は、世界的には第2次世界大戦における戦傷者の治療を契機として発展しました。一方日本においては、1963年の名神高速道路の開通以降、高速道路の整備が進んだことによる交通外傷の増加が、骨折手術の発展に関与しました。
骨折の手術方法は、大きく分けて2種類あります。一つは髄内釘(ずいないてい)と呼ばれる方法であり、もう一つはプレート固定です。厳密にはもう一つ、創外固定という方法がありますが、今回は割愛します。
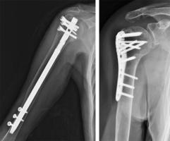
髄内釘は、骨折した部位と離れたところから骨の中の部分に芯棒を入れ、折れたところを固定する方法です=図1=。芯棒を入れただけでは折れた骨が回旋する心配があるので、芯棒の両端に開けられた穴にスクリュー(ネジ)を入れることもあります。この方法は骨折したところを開かないため、骨折の治癒に必要とされる骨膜(骨の表面を被(おお)う膜)が温存されるという利点がありますが、骨の端の部分の骨折には、適応しづらいという欠点があります。
一方、プレート固定は骨折した部位を開き、折れた骨同士をきちんと合わせた後に金属製のプレート(板)を当て、スクリューで固定する方法です=図2=。この方法は、骨のどの部位の骨折でも適応できるという利点がありますが、折れた骨同士をきちんと合わせるために、いったん骨膜を骨から?がす操作が必要となり、その分治癒に時間がかかることがあります。二つの図は、上腕骨の骨折における髄内釘とプレート固定の、それぞれのX線写真を示しています。
こうした手術方法を上手に使い分けるためには、それぞれの骨の折れ方を整理し、各骨折型についての適切な治療法を示す必要があります。その一例としてAO財団の取り組みがあります。AOは58年にスイスで立ち上げられた骨折治療を研究する組織であり、今日では骨折治療の指導的立場にあります。
AOは人体のあらゆる部位の骨折を分類整理し、それぞれの骨折に対して推奨される治療法を提示しています。手術に際し、このような治療指針があることは大変ありがたいのですが、実際には医師の経験と勘に頼る部分も大きな割合を占めます。
骨折の手術療法の合併症として、骨癒合不全(骨がつかないこと)や感染が挙げられます。これらの合併症を生じた場合は、大幅に治療期間が延びることを覚悟しなければなりません。
(朝日大学保健医療学部教授)









