整形外科医 今泉佳宣氏
今回は関節リウマチの手術療法についてお話しします。関節リウマチの主な症状は関節の炎症による痛みと変形です。関節の炎症を抑えるために薬を使いますが、薬の効果が乏しいと痛みが続き、変形も進行します。こうした、関節の持続する痛みや進行した変形に対して手術を行います。
関節リウマチに対する手術治療は大きく二つに分けられます。一つは関節を固定する手術であり、もう一つは新たに関節を形成する手術です。
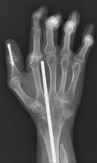
関節を固定する手術は、関節を構成する骨同士をくっつけることで関節を動かなくして、関節の動きに伴う痛みを取り除く方法です。主に手関節(手首)や写真で示した手指の関節、そして足関節(足首)に対して行われます。また脊椎においては、関節リウマチに伴う不安定頚椎(けいつい)に対して固定術が行われることがあります。
関節を形成する手術は、元の関節の動きを残したまま痛みを取り除く方法です。これには人工関節置換術と切除関節形成術とがあります。人工関節置換術は、痛みの原因となっている軟骨を取り除き、人工材料(インプラント)を入れます。この方法は変形性関節症でも行われますが、関節リウマチでは免疫を抑制する薬を投与しているため、術後感染症に注意が必要です。人工関節置換術は主に膝関節や股関節といった下肢の大関節に対して行われますが、上肢の肩関節や肘関節に対しても行われることがあります。
切除関節形成術は主に足の指に対して行う手術です。関節を構成している骨の互いに向かい合っている部分を切除することで、関節の動きを保った状態で痛みを取り除きます。
これら2種類以外の手術として、手関節の炎症に伴い指を伸ばす腱(けん)(伸筋腱)が切れることに対する手術があります。腱が切れると指を伸ばすことができず日常生活に支障を来すため手術を行います。通常、切れた腱をそのまま縫い合わせても再び切れてしまうため、健常な腱を使って機能再建をする腱移行術が行われます。
近年、薬物療法が進歩し、早期から強力な薬物療法が行われることで、関節破壊の進行を抑えられるようになりました。そのため関節リウマチの手術は減少しています。しかしながら関節リウマチの早期診断や治療が行われないまま関節の痛みや変形が進んでしまい、その結果、手術を行う症例も依然としてあります。関節リウマチの疑いがあれば早めに専門医の診察を受けることが大切です。
(朝日大学保健医療学部教授)









