循環器内科医 上野勝己氏
「自律神経の嵐」という言葉をご存じですか。自律神経には、攻撃の役割をする交感神経と守備の役割の副交感神経があり、私たちの身体をコントロールしています。
昼間の活動中は交感神経が優位で、夜間の睡眠中は副交感神経が優位です。早朝の午前4時から6時ごろと夜間就寝後1時間前後は、両者が切り替わる時間帯で自律神経がとても不安定になります。この不安定な状態を自律神経の嵐と呼び、狭心症や心筋梗塞、不整脈、突然死や脳梗塞などさまざまな病気が発症しやすい時間帯となります。季節の変わり目にも自律神経は不安定となり、気温差の激しい初夏のこの時期、私たちは自律神経の嵐の中にいるのです。
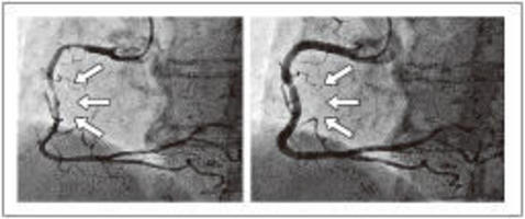
この時期に起きやすい心臓病の一つに冠攣縮(かんれんしゅく)性狭心症があります。動脈硬化による目詰まりの無い冠動脈が、急に異常収縮(冠攣縮)を起こして詰まってしまうのです。
症状としては、夜間就寝中などに突然の胸苦しさや締め付け感で目が覚め、じっとりと冷や汗をかきます。長くても20分程度で治まります。同時に左腕のしびれ感や、歯が浮いたような感じを伴うこともあります。首から顎の違和感を訴えることもあります。胸ではなく背中全体、あるいは肩甲骨の辺りのじっとしていられないような鈍痛が出たり、右胸に症状が出たりする患者もいます。
発作時は苦しくて動けなくなります。発作の起きる時間帯は患者ごとに大体決まっていて、いつも就寝中だったり、あるいは早朝起床時や朝の通勤時だけだったり(帰宅時には全く出ない)さまざまです。水を一口飲むとよくなるという患者もいます。
冠動脈の血流量は自律神経によってコントロールされていますが、自律神経の嵐ではこの調節がうまくいかなくなり、冠動脈が過収縮を起こして閉塞(へいそく)してしまうのです。この病気は年齢に関係なく起こり、私の経験した最も若い患者は21歳の大学生でした。この方の冠攣縮は強烈で、左主幹部という最も太い部分が99%閉塞を起こすほどでした。
冠攣縮の原因は完全には明らかにされていませんが、冠動脈の何らかの動脈硬化性の変化によって、血管拡張物質である一酸化窒素が不足するためだといわれています。ストレスの関与も指摘されています。多忙な仕事が一段落してほっとした時などに、交感神経の過緊張状態から副交感神経優位な状態へ急激に変化して自律神経の嵐を引き起こすのです。過労死もこのタイミングで起きます。
どんなに大切な仕事でも、適切な休みを取り自律神経のリズムを保つことが必要です。たばこも大きな危険因子です。この病気の診断を受けたら必ず禁煙すべきです。急に体を冷やすことでも発作が誘発されますので温度変化には注意が必要です。
発作時にはニトログリセリンが有効で、発作の予防にはカルシウム拮抗(きっこう)薬がよく効きます。昔は5年間で10%前後の患者が心筋梗塞を発病していましたが、長時間作用型のカルシウム拮抗薬が登場してからは心筋梗塞の発病率は1%にまで低下しています。しかし服薬を中断した場合、心臓発作の発生率が10倍になったとの報告もあり、症状が安定しても薬の服用を続けましょう。また自律神経の嵐をできるだけ避けるため、規則正しい生活習慣を心掛け、仕事への過度な"のめり込み"を避けることも大切です。
(松波総合病院心臓疾患センター長、羽島郡笠松町田代)









