整形外科医 今泉佳宣氏
東京オリンピックの男子サッカーの興奮も冷めやらぬうちに、先月からサッカーワールドカップのアジア予選が始まりました。今回はサッカー選手に多い足の疲労骨折としてジョーンズ骨折を取り上げます。
足の指の骨の根元をたどると中足骨(ちゅうそくこつ)という骨があります。これは親指側にある第1中足骨から小指側にある第5中足骨まで5本あります。ジョーンズ骨折とは第5中足骨の疲労骨折を指します。
中足骨に限らず足の骨の疲労骨折はランニングやジャンプ動作による過度の体重負荷が足部アーチに繰り返し加わることで発生するスポーツ障害です。ジョーンズ骨折では繰り返しのストレスが第5中足骨に加わり、あたかも金属疲労を起こしたかのように骨折を生じます。
初期の症状はスポーツ時の足の外側の軽い痛みですが、進行すると次第に痛みが強くなりスポーツを続けることが難しくなります。
バスケットボール選手や陸上選手にも見られる骨折ですが、とりわけサッカー選手にジョーンズ骨折が多く見られます。その原因として、クロスステップやサイドステップあるいはストップ動作といったサッカー特有の足の動きが足の外側への負担を増やすことが指摘されています。そしてサッカースパイクの向上により、そのような複雑なフットワークが比較的容易に行えるようになったことや、サッカーの練習や試合を土、天然芝、人工芝とさまざまなグラウンドで行わなければならないことも影響していると考えられます。
ジョーンズ骨折は、初期ならばしばらくスポーツを休止することで治癒する可能性があります。しかし往々にして、スポーツ選手は痛みでスポーツができなくなってようやく、受診をしがちです。受診が遅れると骨がつきにくく治るのが難しくなるので手術を行う必要があります。また、早期にスポーツ復帰を希望する人も手術となります。
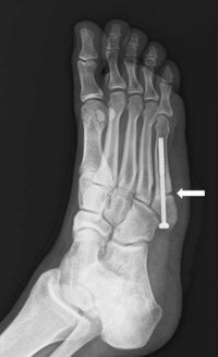
手術は写真のように、特殊なスクリューを挿入する方法で行います。手術後はしばらくの間(3~4週間)骨折した足を地面に着けて歩けないため、松葉づえで歩かなければなりません。スポーツ活動への復帰時期は定期的にエックス線写真を撮影して骨癒合状態を評価しながら判断します。
(朝日大学保健医療学部教授)









